-
Fixed restoration to reestablish masticatory performance
Dr. med. dent .Anja ZembicFemale patient *1949, by Zembic (2007-2009). The patient came for a second opinion with concern to an implant treatment in the mandible. Her wish was a fixed reconstruction as replacement for her existing removable partial denture. -
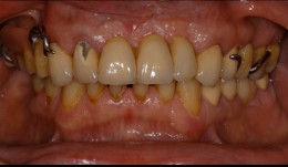
Replacement of a functional displeasing prosthesis in the maxilla
Dr. med. dent. Anja ZembicMale patient *1943, by Zembic (2008-2009). This patient came to our office for a replacement of his current, failing dental works and to restore his masticatory performance -
Patient forms
Patient Consent for Sedation: Required to be filled out by YOU and signed by your patient before patient takes any sedation medication. Submitted to the Education Coordinator, Andrew, prior to surgery, along with the main Consent Form. If no sedation, the main Patient Consent form needs to be filled out and submitted to Andrew prior to surgery. Patient Care is a double-sided one-page handout that you can give to your patients. This handout contains both a map location for the UBC clinic as well as basic directions and guidelines for your patient to be aware of. -
-
-
-
Biohorizons Plus Implant System
Biohorizons -
Simplant 17 Training Manual
Dentsply Sirona -
Proceedings of the 2014 AAP Regeneration Workshop
AAP & Osteology FoundationOn June 1-4, 2014 the AAP organised an international consensus workshop, co-chaired by the Osteology Board members William V. Giannobile and Pamela K. McClain. The workshop was of huge interest to the Osteology Foundation and therefore supported with an educational grant. The proceedings of this workshop are available with free access in a special supplement of the Journal of Periodontology: -
Procedings of the 10th European Workshop in Periodontology of the EFP and Osteology Foundation - original publication open access
EFP and Osteology FoundationSharing the same goals made teaming up an easy task for the EFP and Osteology Foundation when they jointly steered the 10th European Workshop in Periodontology to success in November 2013 in La Granja de San Ildefonso, Spain. The proceedings of this workshop are available with free access in a special supplement of the Journal of Clinical Periodontology (JCP). -
-
Errors and Checklists
Franck Renouard





