-
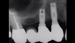
Biologic Complications - Peri-implantitis
Prof. Andrea MombelliPeri-implantitis is a highly relevant topic for every dentist and surgeon placing or restoring implants. In this module, the controversy about the actual prevalence of peri-implant infections, the correct diagnosis and the right treatment approach are discussed in detail, based on the available scientific evidence. -
Technical Complications
Prof. Bjarni PjeturssonIn this module, Prof. Bjarni Pjetursson will provide you an insight into the technical complications that you will encounter at implant-supported reconstructions. He will lecture about complications such as fractures of the veneering ceramic or framework, abutment and screw loosenings and fractures, and implant fractures. -
Long-term results
Prof. Hom-Lay WangIn this module, Prof. Hom Lay Wang will provide you a detailed analysis of the long-term results of implant-supported prostheses and discuss the factors that influence the survival and complication rates. Evidence-based information is illustrated with many interesting clinical examples. -
Esthetic improvement in case with generalized gingival recessions
Manuel Sancho-PuchadesPatient wants an esthetic improvement of her smile. The periodontitis has created black interdental holes and long teeth. -
Esthetic rehabilitation in patient with myoarthropathy
Dr. Dominik BüchiMale patient (*1969) with myoarthropathy is looking for an esthetic rehabilitation of his teeth, which are severely damaged by attrition, abrasion and erosion. -
Osseointegration
Prof. Niklaus LangProf. Niklaus Lang provides you with the background knowledge of osseointegration, the basis of implant dentistry. He presents and summarizes the relevant animal and human studies on osseointegration, discusses histological evidence and shows impressive documentation of bone formation around dental implants. -
Sinus floor elevation
Prof. Pascal ValentiniIn this module, Prof. Pascal Valentini will give you a detailed insight into the topic of sinus floor elevation. He discusses important aspects of sinus floor elevation including: anatomical and physiological considerations as preparation for surgery, patient selection, diagnostics (CBCT), surgical technique, grafting material and complication management. These aspects are nicely illustrated by a lot of clinical cases and surgical videos. -
Non-surgical periodontal therapy
Prof. Mariano Sanz, Prof. David HerreraIn this module Profs. Mariano Sanz and David Herrera will provide you detailed information on the elements of non-surgical periodontal therapy and on the clinical process to provide this therapy to patients affected by periodontal disease. Evidence-based information is illustrated with interesting clinical examples. -
Ridge alterations after tooth extraction
Prof. Mauricio AraujoTooth extraction, once a simple and straightforward surgical procedure, should be performed with the acknowledgement that ridge reduction will follow and that further clinical steps should be considered to compensate for it. Prof. Mauricio Araujo will provide you with detailed information on the basic principles anatomic changes after tooth extraction and of clinical aspects of ridge alterations after tooth extraction with and without implant placement. -
Alveolar ridge preservation
PD Dr. Ronald JungWhen a tooth is considered to be irrational to treat and needs to be extracted every dentist needs to take decisions on whether to let the socket heal spontaneously with a blood clot or whether to perform alveolar ridge preservation procedures. In this module you are going to learn all the important decision-making factors and the clinical handling after tooth extraction to chose either between spontaneous healing after tooth extraction or immediate implant placement or alveolar ridge preservation procedures. -
The impact of human factors in dentistry
Dr. Franck RenouardDr. Renouard, an internationally acclaimed oral surgeon, explains the concept of human factors in dentistry. In his 6 lessons, he parallels lessons learnt from aviation with dental surgery and conveys how an understanding of human factors reduces error and improves safety. -
Implant planning
Prof. Homa ZadehIn 3 lessons, Professor Zadeh discusses planning and distribution of implants in both partially and fully edentulous patients. The main learning objective is to understand what considerations affect clinical decisions to produce best aesthetic outcomes in such patients.





