-
Osseointegration of Implants
The complex process of osseointegration involves formation of an interface between a dental implant and the host’s bone, without intervening soft tissue. Formation depends on qualities of the implant surface, such as its roughness and porosity, as well as characteristics of the host. Titanium coatings offer a good osseointegration surface. After preliminary tests to characterize bone-contacting materials and toxicity reactions, animal models are used to assess different aspects of bone remodeling. This chapter describes several studies for determining the biocompatibility of new implant materials, and their mechanical stability and safety. Models include the tibia of rats and rabbits, and the mandible of the dog, in which different shapes and sizes of implants and fixation techniques can be compared, and the best parameters for quantifying tissue reactions can be established. Mechanical strength testing using measures of torque and shear, for example, help determine how much bone should be in contact with the implant in order to promote osseointegration. The quality of new bone can then be assessed in terms of area, volume and extent of integration. The use of standardized methodology for sample preparation is also emphasized, with detailed description of the Donath technique, which offers many benefits but is expensive, time consuming and requires for specially trained technicians. -
Communication with the patient
PhD Nikos MattheosIn this module on communication with the patient, Professor Mattheos presents key parameters involved in achieving patient satisfaction and treatment success. After completing this module you will know how successful treatment is defined and understand the strategies and aims of effective communication with patients. -
Replacement of two incisors in a young male
Prof. Ronald E. JungMale patient *1978, by Jung (2006-2008). After a traumatic injury to his two central incisors, this patient came to our clinic for a long-lasting replacement with high esthetic standards. -
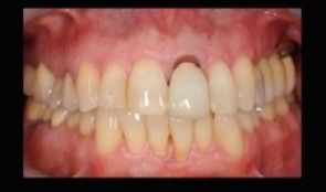
Rehabilitation of a patient with hypodontia
Prof. Ronald E. JungFemale patient *1974, by Jung and Damur (2004). This patient with hypodontia came to our clinic for a treatment of her multiple gaps and limited esthetics. -
Replacement of dental works to improve masticatory performance
Dr. Dominik BüchiMale patient *1938, by Büchi and Jung (2010-2012). This patient came to our office because he was bothered by the low esthetics and masticatory performance of his dental works. -
Reinstatement of complete oral health in patient with periodontitis
Dr. Dominik BüchiFemale patient *1948, by Büchi and Siegenthaler (2009). This patient suffering from periodontitis wants to reach a state of complete oral health and ideal masticatory performance. -
-
What Will Dentistry Look Like in 2020
Gilbert Achermann -
Venues & Hotels for the MaxiCourse
Corporate rates available at the hotels listed within. Our three main venues are laid out in the Venues document. -
Comprehensive treatment of a patient with tooth agenesis
Prof. Ronald E. JungFemale patient *1968, by Jung, Antonini, Triacca (2007-2009). This patient with hypodontia and multiple persistent deciduous teeth is looking for a long-lasting solution to improve her esthetic and masticatory performance.





