-
Prosthetic rehabilitation after traumatic injury to the midface
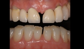
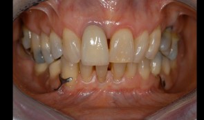
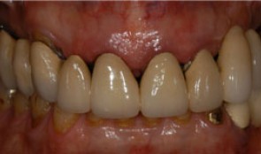
Prof. Ronald E. JungFemale patient *1987, by R. Jung (2008-2013). This patient is missing great parts of her right upper dentition with combined soft and hard tissue defects, due to a traumatic injury. She now wishes to get a replacement. -
Immediate implant placement -factors influencing the esthetic success
DDS Joseph KanIn this module Professor Joseph Kan reviews the factors that can lead to success and failure during immediate implant placement in the esthetic zone. Within three lessons the most important aspects influencing the esthetic outcome are addressed: the influence of different gingival biotypes, the impact of the facial bone contour, the gap configuration, the ideal implant size and position for immediate implant placement. -
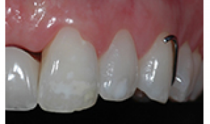
Transitional restorations at implant sites
Dr. med. dent. Daniel ThomaIn this module Dr. Thoma focuses on transitional restorations at implant sites. In the first lession the advantages, disadvantages and limitations of removable, fixed tooth-supported as well as implant-supported provisional restorations are addressed. The second lesson concentrates on implant-borne transitional restorations. The most important clinical steps required to create an adequate emergence profile in the esthetic zone are explained and illustrated with clinical cases. -
Immediate implant placement -factors influencing the esthetic success
DDS Joseph KanIn this module Professor Joseph Kan reviews the factors that can lead to success and failure during immediate implant placement in the esthetic zone. Within three lessons the most important aspects influencing the esthetic outcome are addressed: the influence of different gingival biotypes, the impact of the facial bone contour, the gap configuration, the ideal implant size and position for immediate implant placement. -
-
Replacement of a FPD (12-24) in a multimorbid patient
Dr. med. dent. Anja ZembicMale patient *1925, by Zembic (2007-2008). This patient suffering from Alzheimer's disease is in need of a simple but durable replacement for his broken maxillary FPD -
Esthetic improvement in patient with periodontitis
Dr. med. dent. Thomas TruningerFemale patient *1952, by Truninger and Schneider (2008-2010). The patient came to Dr. Thomas Truninger for an esthetic rehabilitation. She was especially bothered by the large black triangles in the anterior maxilla. -
Replacement of maxillary restorations and esthetic rehabilitation
Dr. med. dent. Anja ZembicFemale patient *1965, by Zembic (2008-2009). The patient asked for a straightforward therapy to replace her failing upper jaw restorations and to improve her overall esthetic situation. She absolutely denied a removable option. -
Fixed restoration to reestablish masticatory performance
Dr. med. dent .Anja ZembicFemale patient *1949, by Zembic (2007-2009). The patient came for a second opinion with concern to an implant treatment in the mandible. Her wish was a fixed reconstruction as replacement for her existing removable partial denture. -
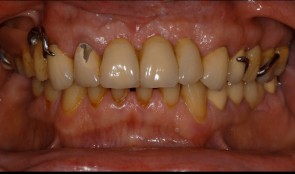
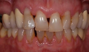
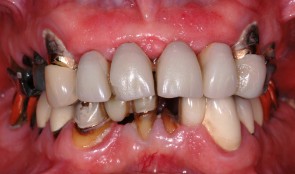
Replacement of a functional displeasing prosthesis in the maxilla
Dr. med. dent. Anja ZembicMale patient *1943, by Zembic (2008-2009). This patient came to our office for a replacement of his current, failing dental works and to restore his masticatory performance





