Free content
-
Soft Tissue Management in the Aesthetic Zone
Daniel ThomaExpert presenter PD Dr. Daniel Thoma is a Head of Academic Unit at the Clinic for Fixed and Removable Prosthodontics and Dental Material Sciences, University of Zurich, Switzerland. Long-term successful outcomes with implant therapy are based on a number of parameters. Among these, the critical assessment of the peri-implant soft tissues and subsequent therapeutical interventions are considered key factors. -
Esthetic and Restorative Dentistry - Ceramic Materials
Terry, Douglas A. -
-
REAL-TIME NAVIGATION: THE BEGINNING OF A NEW ERA IN GUIDED IMPLANT SURGERY
Objectives: To demonstrate that dynamic guided surgery is as predictable as conventional surgery. Methods: Partially edentulous patients requiring a fixed rehabilitation were selected for this pilot study. No specific contraindications were established, and smokers were not excluded. An impression was taken pre-operatively using an irreversible hydrocolloid (Cavex CA37®) to fabricate a diagnostic cast for moulding the surgical stent (NaviStent®). Afterwards, a standard cone-beam CT (CBCT) scan was made with the NaviStent® in place using a Planmeca Promax 3-D Max®. Images were converted into DICOM files and transformed into a 3-D virtual model using the Navident® software. The potential implant locations were planned in a prosthesis-driven way. For preparing the osteotomy, the drilling axis of the handpiece and the twist drills were calibrated. The osteotomies were prepared at low speed using a high level of cooling. The navigation software guided the drilling procedure in real time. Before installing implants, an extra calibration procedure was performed for tracking the implant. The aim of this pilot study was to determine the clinical outcome up to 12 months post-operatively for implants installed using the Navident® guided surgery system. Results: Partially edentulous men (n = 6) and women (n = 7) were included in this pilot study (mean age 52.15 years; range 20–75). Out of these 13 patients, two were current smokers of more than 10 cigarettes per day. Twenty implants were inserted. No mechanical or biological complications occurred during the surgical procedure, and no major complaints were reported, such as hemorrhage, sinus pathology or severe post-operative pain. No implants were lost up to 1 year after insertion, resulting in 100% implant survival. Conclusions: Based on the results of this pilot study, real-time navigation is a promising technique. However, there is not yet enough evidence to show that the method is as safe and predictable as conventional implant surgery. -
Periodontal Preserve Therapy (Examples)
Clotten, StefanContent: - Periodontal maintenance therapy for teeth 34 and 35, including the regeneration of a bone defect using bone replacement material, collagen membrane and sutures. - Curettage for treatment of periodontal pockets. - Treatment of gingival pressure sores caused by tight-fitting orthodontic apparatus. - Incision of buccal attachment to relieve gingival pressure for elimination of gingival recession. -
Short and narrow implants, how far can we go?
Christoph Hämmerle, José NartIn this webinar moderated by Prof Ronald Jung and Dr. Adrián Guerrero the expert presenters Prof. Christoph Hämmerle and Dr. José Nart discuss about the importance and benefits of using short and narrow implants. -
-
-
-
Implantation with Simultaneous Augmentation
Grunder, UeliProcedure: - Case evaluation - Incision technique - Implant placement - Membrane adjustment and fixation - Introduction of replacement material - Flap mobilization - Suture technique Contents: Implantation was desired for replacement of a missing upper canine tooth and the adjacent lateral incisor tooth. The initial case evaluation revealed a relatively narrow gap between these two teeth in addition to extensive hard and soft-tissue defects. We selected an incision technique that made it possible to do the augmentation work yet subsequently achieve a tension-free flap closure. Since the bony defect was large while the available space was limited, we had to go for the best possible compromise in regard to implant insertion. After the implants had been inserted, augmentation was carried out using a non-absorbable, titanium-reinforced membrane, bone replacement material, and an absorbable membrane. Extreme flap mobilization was needed to achieve flap closure. An optimal suture technique was used to complete the surgery. -
Bone Spreading, Bone Condensing
Streckbein, RolandContent: Surgical flap creation and elevation; Use of drill template for exact determination of implant position; Implant site creation; Site preparation / tapping; Bone compaction; Insertion of the implants; Impression-taking; Wound closure; Later implant insertion; Dental lab work; Creating the model with laboratory implants; Shaping the bar frame; Adapting the laser welded frame to the model; Manufacturing the tooth replacement, Fitting the bar into the tooth replacement; Finishing work. -
Live surgery Surgical treatment of bone necrosis
Schultze-Mosgau, StefanOutline: - Surgical wound debridement - Sequestrotomy - Preparation of the soft-tissue bed - Plastic, tension-free, saliva-proof wound closure List of materials Basic surgical tool set: - Surgical blade - Preparation scissors - Pair of tweezers - Suture materials -
Fiberglass frameworks in removable prosthodontics
Bücking, Wolfram -
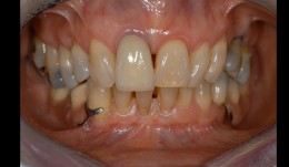
Aesthetic upper anterior implant placement case
Dr. Dominik BüchiDr. Dominik Büchi performed a ridge preservation to keep the soft tissue volume. He then placed an implant 8 weeks later with simultaneous GBR. The final emergence profile was created by a fixed provisional crown. -
Covering a Recession with a Soft Tissue Transplant
Heinz, Bernd / Jepsen, SörenObjectives: Use of a soft tissue graft for recession coverage at tooth 23 and for gingival augmentation. Content: 1. Incision around tooth 23, intra-sulcular preparation, mobilization of coronal sliding flap, and pre-flap preparation. 2. Root smoothing, reduction of ground cavity with diamond burs from Perioset system. 3. Preparation and harvesting of connective tissue flap from palate, Emdogain application, and wound closure. 4. Placement of interrupted interdental sutures for fixation of connective tissue flap. -
Cell-to-Cell Communication - Inflammatory Reactions
Stadlinger, Bernd / Terheyden, HendrikVisualizing the invisible while experiencing a fascination with science is the great challenge that Cell-to-Cell Communication, representing an all-new genre, has set out to meet. A spectacularly sophisticated computer animation in HD quality depicts the highly complex processes of intercellular interaction during an inflammatory periodontal reaction complete with the messenger molecules implicated. The various cell types constitute the main cast of the film, using a finely tuned communication process in their quest to destroy the bacterial invaders, with messenger molecules as supporting cast. A stunning didactic and dramatic experience! Outline: - Biofilm - Gingivitis and the Innate Immune Defense - Periodontitis and the Adaptive Immune Defense - Cleaning and Regeneration
Most Popular
-
Er: YAG Laser in der Praxis
Schwarz, FrankGliederung - Grundlagen Laser - Prinzip der Fluoreszenzmessung - Nichtchirurgische Parodontaltherapie - Chirurgische Parodontaltherapie - Behandlung von Zahnhalsüberempfindlichkeiten Inhalt: Das primäre Ziel der Parodontaltherapie ist die Entfernung bakterieller Zahnbeläge, um ein Fortschreiten der Erkrankung zu verhindern. Neuerdings wird neben den klassischen Therapieformen auch der Einsatz von Lasersystemen vorgeschlagen. Der Er:YAG Laser scheint das vielversprechendste Lasersystem für die Behandlung der marginalen Parodontitis zu sein. Seine exzellente Fähigkeit subgingivale Konkremente abzutragen, ohne thermische Effekte auf das angrenzende Gewebe auszuüben, wurde in einer Vielzahl von Untersuchungen nachgewiesen. Die Ergebnisse klinisch kontrollierter Studien haben weiterhin gezeigt, dass der Er:YAG Laser sowohl bei der nichtchirurgischen als auch der chirurgischen Parodontaltherapie zu einem signifikanten Gewinn an klinischem Attachment führte. Vorläufige klinische Resultate weisen darauf hin, dass mit diesem minimalinvasiven Gerät eine Instrumentierung sehr tiefer und flacher Taschen möglich ist, ohne Schäden im Bereich des Zahnhart- und -weichgewebes, wie z. B. ein Entfernen von Wurzelzement oder einen Anstieg gingivaler Rezessionen, zu verursachen. In der vorliegenden Live-OP wird der Einsatz bei der nichtchirurgischen und chirurgischen Parodontaltherapie demonstriert. -
Internal Sinus Lift with the Lift Control System
Streckbein, Roland -
Hemisektion und Trisektion nach der Carnevale-Technik
Hürzeler, Markus B.Gliederung: - Apikale Lappenreposition - Trisektion des oberen Molaren - Extraktion der distobukkalen Wurzel - Tangentialpräparation der Pfeiler - Unterfütterung des Provisoriums Inhalt: Furkationsbefallene Molaren zeigen im Vergleich zu einwurzeligen Zähnen eine geringere Langzeitprognose hinsichtlich des Zahnerhaltes auf. Neben dem Ersatz durch Implantate gibt es die therapeutische Möglichkeit, die Furkationsbereiche zu eliminieren und einwurzelige Verhältnisse durch Hemisektion oder Trisektion zu schaffen. Studien zur Langzeitstabilität zeigen ein sehr gemischtes Bild. Während einige Studien Misserfolge von 40% zeigten, konnte die Gruppe um G. Carnevale Daten mit Erfolgsraten von mehr als 90% innerhalb von 10 Jahren publizieren. Vorbehandlung: 6 bis 8 Wochen nach konservativer Parodontaltherapie erfolgte die initiale Präparation der Pfeilerzähne, die eine Furkationsbeteiligung Grad II-III aufwiesen. Die Präparation wurde tangential bis auf Knochenniveau durchgeführt, um möglichst wenig Zahnhartsubstanz zu opfern und alle Wurzelkonkavitäten zu eliminieren. Ein metallverstärktes Langzeitprovisorium diente zur Schienung. Daraufhin erfolgte die endodontische Versorgung. Chirurgischer Eingriff: Es erfolgte eine Apikalverschiebung der Gingiva im Bereich der betroffenen Zähne. Anschließend erfolgte die Präparation eines Mukosallappens auf der bukkalen und palatinalen Seite und die Trisektion. Nach Durchtrennung und Entfernung der distobukkalen Wurzel wurde die intraoperative Präparation der Pfeilerzähne durchgeführt. Ein wichtiger Schritt ist das Unterfüttern des Provisoriums, um die Wurzeln zu schienen und deren Einkippen zu verhindern. Weiterbehandlung: Abdrücke für die definitive Versorgung erfolgten 6 Monate postoperativ. Die Restaurationsränder der Tangentialpräparation wurden am Meistermodell festgelegt, die definitive Rekonstruktion weist fein auslaufende Metallränder auf.
Recommended to You
-
-
Kieferkammspaltung mit gleichzeitigem Sinuslift nach der Piezotechnik
Schlee, MarkusGliederung - Einführung und kurze Falldarstellung - Inzision und Lappenpräparation - Präparation des Sinusfensters mit Piezotechnik - Präparation der Schneider'schen Membran - Kieferkammspaltung und Erweiterung - Augmentation des Sinusbodens mit BioOss - Pilotbohrung und weitere Kieferkammspreizung - Insertion von zwei Implantaten - Platzierung der Membran und Naht Inhalt: Dargestellt wird hier der komplexe Fall einer augmentativen Therapie mit Kieferkammspaltung im Oberkiefer mittels Piezzosurgery-Technik in Kombination mit einer Sinusbodenelevation mit Zugang über die laterale Sinuswand. -
Christoph Hämmerle: with team effort and trust to success and reputation
Professor Christoph Hmmerle has served as president of the Osteology Foundation for 12 years. His term of office came to a close at the end of May 2015. In an interview, he looked back over the past 12 years and how the Osteology Foundation has developed since it was founded by Dr Peter Geistlich, who he reveres with gratitude and respect. The Osteology Foundation was founded 12 years ago, and you have been its President since then. It seems that the Foundation has now grown up as it were. What are your recollections, when you look back on the development of the Foundation? Christoph Hmmerle: The Osteology Foundation has grown to be a highly respectable organization over recent years. I think the key elements for this success have been the excellent teamwork among the members of the Foundation Board, the dedication of those working in the office and, very importantly, the support and the academic freedom granted by the Founder Dr Peter Geistlich. When you look back, what were the highlights during those 12 years? Christoph Hmmerle: The development of the Osteology Foundation has been a continual step-by-step process. There were many highlights during this development. Some key events surely were the National and International Osteology Symposia, which have grown steadily in size and reputation. Another important aspect has been the grant program providing support of research projects, which has led to many publications advancing soft and hard tissue regeneration in science and practice. Yet another true highlight was the development of the Osteology Research Academy (ORA). This Academy offers education in research methodology to anyone interested and allows the participants of the courses to gather knowledge, acquire skills, as well as build and develop valuable research networks. The Foundation was founded by Dr Peter Geistlich in 2003. How was your relationship with him? Christoph Hmmerle: He truly was an elder statesman, a charismatic person who was very much respected by those around him. I enjoyed a trustful and respectable relationship with him. When I think of him, it is with gratitude and respect for what he did, what he achieved and who he was. Can you share one or two personal moments with Dr. Peter Geistlich that you remember well? Christoph Hmmerle: I felt very touched, when he offered me first name terms during a dinner. I know that he only offered this to a few people. I interpreted it as a sign of his trust in me and in our relationship. I also remember very well the charismatic way in which he made his statements, when we did recordings for an Osteology film. And another situation that sticks in my mind was during the Osteology Symposium in Monaco in 2007, when I had the honor of presenting him with a gift. He was a rather reserved person, who usually didnt like to be at the center of attention. But on this occasion he came onto the stage to accept the gift and the gratitude of the audience. Did the Foundation experience any crisis or major problems during your 12 years of presidentship? Christoph Hmmerle: No, we never experienced a crisis. There has always been a high level of dedication from the Osteology Office, sustained support from the founder and enthusiasm for the Foundation and its causes from within the Osteology Board. Of course, there were situations and decisions that called for intensive discussions, but ultimately we always found beneficial solutions paving the way for further progress of the Foundation. It seems that the Osteology Foundation managed to put a large proportion of ideas into practice. It now offers a broad range of activities and tools for Scientists and Practitioners. At the outset, did you expect that the Osteology Foundation would grow to such an extent and become so successful? Christoph Hmmerle: Definitely not. We did not foresee this significant and wonderful development. All this became reality, because we recognized the needs in this field, reacted to changes, identified important gaps and reacted positively to all these challenges. We responded to the needs in the field by offering education and training for researchers and clinicians, providing meaningful information in the form of research guidelines, offering grants for research projects, organizing funding for academic scholarships, reflecting the state of the science by conducting consensus conferences, etc. Looking back over the past 12 years of the Foundation, we have clearly offered value to the community, which has been well received and has significantly contributed to the positive development in the field of hard and soft tissue regeneration. Is there something of which you are particularly proud, or something special that you feel you have personally achieved during your presidentship? Christoph Hmmerle: I believe it is most important that everybody has had the opportunity to put their influence and personal strength to good effect. Within the Board, the Office and the relationship with the Founder, there has always been a spirit of trust and respect allowing everyone to work to the best of his or her capabilities. I consider this one of the most important aspects in the success of the Osteology Foundation. You are not saying a final farewell to the Foundation when your period of office ends in June. You will remain a member of the Foundation Board for two more years. Are there any specific projects that you plan to realize during this time? Christoph Hmmerle: When ones term is over, it is time to step down. But of course, I will provide support and advice where needed. With the new members of the Board and the Executive Board I am fully convinced that there will be further positive development of the Osteology Foundation. At this point, I would also like to express my special thanks to the Board of Directors of Geistlich, in particular to Dr Andreas Geistlich, for having affirmed their continued support for the future of the Osteology Foundation. When you are no longer president of the Osteology Foundation, what are you going to do with the plentiful free time you have? Christoph Hmmerle: I will have more time to further develop online education. I am fully convinced that online education is becoming a key platform for the exchange of knowledge and for communication in our modern interconnected world. We started a project called Dental Campus back in 2007, which is unique and has a great potential for further development. So, maybe there will be not so much free time waiting for me. But of course I will also enjoy having more time to spend with family and friends, doing sports or being in the mountains. Mariano Sanz will be the next president of the Osteology Foundation in June 2015. Is there something that you would like say to send him on his way? Christoph Hmmerle: I have known Mariano for a long time and we have worked together for several years and on various projects. He is highly experienced and well established as a researcher, a clinician, an academic and a leader. With him as President, the Osteology Foundation will be in the best possible hands! Thank you very much, Professor Hmmerle! Interview: Dr Heike Fania





